Manchas en tus dientes
Estamos en un momento en el que nuestra boca va a volver a cobrar protagonismo en las reuniones con familiares y amigos. Y las manchas en nuestros dientes pueden decir mucho de nosotros. Aunque lo podemos corregir con un blanqueamiento dental.
Un blanqueamiento dental es un procedimiento por el que vamos a conseguir eliminar esas posibles manchas que tengamos en nuestros dientes, así como conseguir darles de nuevo un tono más blanco y brillante a nuestra dentadura.
Es un tratamiento estético realmente sencillo, hasta el punto que incluso existen productos en el mercado para realizarlo en nuestra casa. Eso si, los resultados quizás no sean los esperados o podamos dañar el esmalte de nuestros dientes, por lo que siempre recomendamos que sea realizado por un profesional.
Y es que lo primero que se debe conocer antes de realizar este tipo de tratamientos, es la causa de las manchas que han surgido en los dientes, o la razón por la que han perdido el brillo y el color que tenían antes.
De este modo se podrá aplicar el método que mejor se adapte a tus dientes, para evitar cualquier tipo de contraindicación que pueda surgir, o en el caso de que haya aparecido, poder corregirlo.
Qué oscurece nuestros dientes
Existen varias causas que pueden hacer oscurecer nuestros dientes, unas sobre las que podemos tener control y evitarlas, y otras por causas ajenas a nosotros, y sobre las que no tenemos ningún tipo de control.
Sobre las que tenemos control
Normalmente se debe a factores externos y ajenos a nuestros dientes. Suele tener relación con nuestro estilo de vida.
Las bebidas como el café o vino, suelen resultar un tinte para nuestros dientes. Esto no significa que no los podamos consumir, para nada, pero sí que tendríamos que hacerlo con moderación para evitar ese tintado.
Algunos alimentos también pueden provocar ese tipo de tintado, por ejemplo, las especias que se suele utilizar para dar sabor y color a nuestras comidas. El curry o el azafrán son algunas de ellas. ¿Nunca te has mirado los dientes después de comer una paella? Se ven algo más amarillos, ¿verdad?
Algunas frutas también pueden ocasionar el tintado de los dientes, por ejemplo, las cerezas, las moras o las espinacas.
Comidas que tienen mucho vinagre o limón, con sus ácidos, también contribuyen a erosionar el esmalte de tus dientes y provocar un color amarillento en ellos.
Y por supuesto, uno de los grandes enemigos de tu boca, y de tu cuerpo, el tabaco. La nicotina entra en la estructura de los dientes y provocando la aparición de esas manchas marrones tan antiestéticas.
Este tipo de tintado de los dientes suelen ser superficiales y normalmente, con un cepillado regular de dientes podemos conseguir eliminarlos, aunque otras manchas, como la del tabaco, no son tan sencillas y tendremos que recurrir al blanqueamiento dental.
Como puedes ver, sobre este tipo de manchas tenemos el control, ya que, evitando ese tipo de conductas, y con una correcta higiene dental las podemos llegar a evitar.
Sobre las que no tenemos control
Existen otras causas sobre las que no podemos hacer nada para evitarlas, como pueden ser:
La edad, que tiene una relación directa con los dientes. Es normal que con el paso del tiempo los dientes se vayan oscureciendo y cambiar su tonalidad. El desgaste del uso y acumulación de manchas que han ido apareciendo poco a poco por razones externas con las que lo provocan.
Esto implica, que, dependiendo de la edad del paciente, en algunos casos, el blanqueamiento dental sobre algunos tipos de dientes conlleva más peligros que beneficios, sobre todo en dientes que ya están debilitados por la edad.
Pero esto no significa que no sea posible, simplemente que es más complicado deshacerse de algunas manchas que han ido surgiendo con el tiempo.
Los traumatismos pueden también causar que el diente se oscurezca, aunque en realidad es por la muerte del nervio, que si no se detecta a tiempo puede provocar que se vaya necrosando y por lo tanto la pérdida de la pieza.
Si después de un golpe detectas que está cambiando su color a una tonalidad más amarillenta o negra, puede ser tu caso, así que deberías hacer una visita a tu dentista. Y quien mejor que nuestros especialistas de la clínica. Contacta con nosotros y pide tu cita.
Si ya tienes una edad, seguro que te suena el uso de tetraciclinas para combatir las enfermedades respiratorias. De hecho, el uso de este tipo de medicamentos se prohibió por sus efectos negativos, además de que se encontraron mejores tratamientos para ese tipo de enfermedades.
Según la cantidad de esa sustancia que se tomara, así sería el grado de tintura en los dientes.
El propio desarrollo de los dientes también puede causar la aparición de manchas en los dientes. Partiendo de que cada persona tiene un tono de color de dientes, la poca cantidad de esmalte en la parte inferior del diente durante su formación provoca estas manchas blancas.
Se le denomina hipoplasia dental.
Otra de las causas que provocan el tintado de los dientes es una alteración del esmalte denominada fluorosis dental, debido a la alta cantidad de flúor que se puede aplicar sobre el diente durante la formación del mismo.
Ahora que conoces algunas de las causas que provocan la aparición de manchas en tus dientes, y sabes sobre como evitar algunas de ellas, lo puedes hacer también dependiendo del color que tengan esas manchas.
Diferentes tipos de manchas
Existen tres tipos de manchas:
Amarillas: Normalmente se deben al deterioro del esmalte, que aparecen junto con un aspecto translúcido en los bordes del diente. Aumenta la sensibilidad al frío o al calor. Suelen aparecer por tomar alimentos ácidos, como ya hemos visto antes, el bruxismo o un cepillado de dientes muy agresivo.
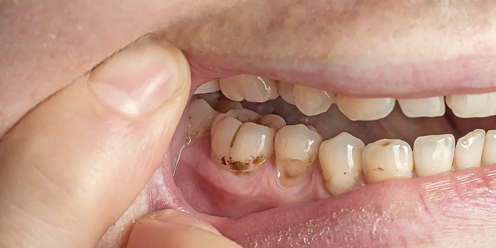
Marrones: Este tipo de manchas están más relacionadas al consumo de algunas sustancias, como el tabaco, el alcohol o el café.
Blancas: Son manchas que se producen por la descalcificación de esa zona del esmalte. Suelen ser el preámbulo a una caries, ya que muestran la parte más debilitada del diente por la que es más fácil que las bacterias consigan atacar al diente.
Ahora que ya conoces los diferentes tipos de manchas y algunas de las causas que las provocan, sabes como puedes evitar la aparición de algunos tipos y qué pueden significar.
En próximas entradas de nuestro blog te comentaremos como eliminar las manchas estéticas gracias al blanqueamiento dental del que hablábamos al comienzo de esta entrada.